Ernährung beim COVID-19 Patienten auf der ICU - Karl-Heinz Smolle Medizinische Universität Graz
←
                            
                                                            
                                →
                                
                            Transkription von Seiteninhalten
                            
                        Wenn Ihr Browser die Seite nicht korrekt rendert, bitte, lesen Sie den Inhalt der Seite unten
                        JAMA September 22/29, 2020, Vol 324, No. 12, Pages 1123-1255 - Cardiology and COVID-19 Robert O. Bonow - Dermatology and COVID-19 Kanade Shinkai - Internal Medicine and COVID-19 Rita F. Redberg, - Nephrology and COVID-19 Wolfgang C. Winkelmayer - Neurology and COVID-19 S. Andrew Josephson - Oncology and COVID-19 Mary L. Disis, MD - Ophthalmology and COVID-19 Neil M. Bressler, - Psychiatry and COVID-19 Dost Öngü - Surgery and COVID-19 Melina R. Kibbe
Der häufigste Grund zur Aufnahme auf eine Intensivstation ist ein respiratorisches Versagen. Etwa 2/3 der Patienten erfüllen die Kriterien eines ARDS (Wang et al. 2020; Murthy et al. 2020).
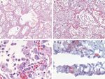
66 jähriger Mann mit Coronavirus Infektion und ARDS Folge ➟ Hypoxämie (Sauerstoffmangel im Blut) 5 Tage später F. Albarello International Journal of Infectious Diseases 93 2020; 192–197
Prevalence of malnutrition and analysis of related factors in elderly patients with COVID-19 in Wuhan, China Tao Li. European Journal of Clinical Nutrition 2020; 74:871–875 Jan- Feb 2020: 435 Patienten mit bestätigter Covid 19 Infektion stationär aufgenommen. Davon wurden bei 182 Patienten ein Mini Nutritional Assessment (MNA) erhoben < 17 Punkte : Malnutrition 17-23.5 Punkte: Risiko zur Malnutrition 24-30 Punkte: keine Malnutrition 52.7% (n=96) waren mangelernährt 27.5% (n=50) zeigten ein Risiko zur Mangelernährung For clinical practice, nutritional support should be strengthened, especially for elderly patients with diabetes mellitus, low calf circumference, or low albumin.
Der Muskel spielt eine zentrale Rolle im Proteinstoffwechsel und fungiert als Reservoir für Aminosäuren, wenn der Proteinbedarf des Körpers nicht durch Nahrungsaufnahme gedeckt wird. Die Folgen von Unterernährung sind vielfältig und führen zu einem Verlust an Muskelmasse und –funktion ➠mit nachteiligen gesundheitlichen Folgen wie F. Landi Clinical Nutrition 2019; 38:2113-2120
Ch. Gillis Anesthesiology 2015; 123:1455-72
Hat die Ernährungstherapie bei unterschiedlichem Schweregrad der Inflammation einen Einfluss auf die Mortalität? This is a secondary analysis of EFFORT, a pragmatic, investigator-initiated, open-label, multicenter trial that was undertaken in 8 Swiss hospitals from April 2014 to February 2018 Meret Merker JAMA Network Open. 2020;3(3):e200663.
COVID 19 Patienten zeigen wie viele andere kritisch kranke Patienten häufig Zeichen der Malnutrition Ø Vermindertes Serumalbumin Ø Vermindertes Präalbumin Ø Reduzierter BMI < 18.5 Ø Gewichtsverlust d.h. ☞ ERNÄHRUNGSSCREENING !!
Zusammenhang zwischen Ernährungsscreening (NRS 2002) und Mortalität bei COVID 19 Xiaobo Zhao JPEN J Parenter Enteral Nutr. 2020;00:1–11
Muskelmasse bestimmt Überleben !
Indeed, in the recent Chinese experience, nutritional support was considered a basic treatment and part of the multidisciplinary management for symptomatic SARS-CoV-2 affected patients Chinese Medical Association. Specialty Branch Chinese Medical Association Parenteral Enteral Nutrition Branch Medical Nutrition Therapy Experts Recommendation. 2020 Li XY, Du B, Wang YS, Kang HYJ, Wang F, Sun B, et al. The keypoints in treatment of the critical coronavirus disease 2019 patient. Zhonghua Jie He He Hu Xi Za Zhi. 2020;43:E026.
Pathophysiologie des Refeeding Syndroms
Nutrition of the COVID-19 patient in the intensive care unit (ICU): a practical guidance R. Thibault, P.Singer . Critical Care 2020; 24:447
Aufnahme auf eine ICU für länger als 48h Enterale Ernährung falls keine Kontraindikationen 1.Wahl Kontraindikation Parenterale Ernährung Nach 3-4 Tagen Parenterale Ernährung Ernährungsziel supplierend nicht erreicht 20-30 kcal/kg/Tag 1,3g Protein/kg/Tag davon 50% Pro 1°C erhöhter Temperatur 10% verzweigtkettige AS mehr Kalorien 2g Kohlehydrate/kg/Tag nicht mehr als 150g/Tag 1,5g Fett/kg/Tag reich an -3 Fettsäuren (Cave: Propofol) Vitamin D: Bei Spiegel
Indirekte Kalorimetrie Daten von Covid 19 Patienten LEEP –COVID 19 Daten P. Wischmeyer In den ersten 3-7 Tagen: Covid 19 Patienten sind HYPOMETABOL (60-80% der berechneten/ 18-20 kcal/kg/Tag) Nach Tag 7: Covid 19 Patienten sind HYPERMETABOL 120-200% der berechneten Kalorien auch bei Relaxierung
Hypermetabolismus von COVID 19 Patienten Indirekte Tag 0-7 Tag 7-14 Tag 14-21 P-Wert Kalorimetrie Gemessener REE 1568 1830 2789
Hypermetabolism and Coronavirus Disease 2019 Pey-Jen Yu. JPEN J Parenter Enteral Nutr. 2020;0:1–3
Ernährungstherapie von Patienten mit COVID-19 Erkrankung auf der Intensivstation SCCM/ASPEN COVID-19 Empfehlungen April 2020 Beginn der Ernährung: ✓ Frühe EN innerhalb von 24-36h nach Aufnahme auf ICU und 12h nach Intubation ✓ Nasogastrische Zufuhr der EN bevorzugt ✓ Mit niedriger Dosis beginnen und steigern um nach 1. Woche das Ziel von 15-20kcal/kg/aktuelles KG zu erreichen (Ziel 70-80% des Kalorienbedarfs) ✓ Proteinzufuhr 1.2-2.0g/kg/aktuelles KG
Timing of PROTein INtake and clinical outcomes of adult critically ill patients on prolonged mechanical VENTilation: The PROTINVENT retrospective study W.A.C. Koekkoek Clinical Nutrition 2019; 38: 883-890 Effekt der Proteinzufuhr (Tag 1-3) und (Tag 4-7) und 6 Monate Mortalität A time-dependent effect of protein intake in critically ill patients is observed. A gradual increase from low protein intake during the first 2 days of ICU stay to intermediate on day 3-5 and high protein intake from day 6 is associated with lower 6-month mortality. In addition, overall low protein intake is associated with the highest 6-month, ICU and hospital mortality and should be avoided. Empfehlung: § Tag 1-2: 1,2g/kg/Tag
K.W.A.C. Koekkoek Curr Opin Anesthesiol 2018;31:136 – 143
Shruti Ahlawat Virus Research 2020; 286:198103
COVID-19 und Auswirkungen auf den Gastrointestinaltrakt Der größte veröffentlichte Datensatz umfasste 4243 Patienten und zeigte eine Prävalenz von GI-Symptomen bei 17,6%. Die GI-Symptome gingen den Lungensymptomen in der Regel 1–2 Tage voraus. Dazu gehören o Anorexie (26,8%), o Übelkeit und Erbrechen (10,2%) o Durchfall (12,5%) o Bauchschmerzen (9,2%). o Fallbericht über hämorrhagische Kolitis o Die Inzidenz von Leberschäden liegt zwischen 15% und 53%. SARS-Covid 19 Viren Rezeptoren ACE2 finden sich auch zahlreich in den gastrointestinalen Epithelzellen Cheung KS. Gastroenterology. 2020; S0016-5085(20):30448-0. Sunny H Wong Journal of Gastroenterology and Hepatology 2020; 35:744–748
Ergebnisse von 11 Studien von Patienten mit COVID 19 Gastrointestinale Symptome: Anorexie oder schlechter Appetit am häufigsten 34-67% Diarrhö 2-17% (Dauer bis zu 14 Tagen) Erbrechen 1-17% Übelkeit 1-11% Fallbericht einer hämorrhagischen Kolitis Gastrointestinale Symptome häufig den pulmonale Symptomen 1-2 Tage vorausgehend COVID-19 and its effects on the digestive system and endoscopy practice E. J. T. Aguila, Journal of gastroenterology and hepatology 2020; 4:324–331
Sind Vasopressoren eine KI für die EN ? Enteral Nutrition Can Be Given to Patients on Vasopressors Paul E. Wischmeyer Crit Care Med 2020; 48(1): 122-125
Retrospektive/kleine prospektive Studien zeigen kein gesteigertes Risiko von gastrointestinalen/ pulmonalen Komplikationen bei EN in Bauchlage. J Parenteral Enteral Nutr. 2016; 40(2): 250-255 Gastrale EN in Bauchlage mit Oberkörperhochlagerung 25° um Aspirationsrisiko zu vermeiden
Mikrobiom des Darmes und Covid 19 D. Dhar Virus Research 2020; 285: 198018
Strain-Specific Effects of Probiotics on Gut Barrier Integrity following Hemorrhagic Shock M.D. Luyer INFECTION AND IMMUNITY, 2005; 73(6):3686–3692 L. Rhamnosus strongly reduced L. Rhamnosus and L. fermentum inhibit the endotoxin levels whereas adhesion of pathogens similarly. pretreatment with L. fermentum had no effect. o the current study shows that two Lactobacillus strains have distinctive, different effects on intestinal barrier integrity loss following hemorrhagic shock. o Whereas L. rhamnosus reduced gut barrier integrity loss caused by systemic hypoperfusion, L. fermentum had no substantial effect and even resulted in the increased translocation
Empfehlung Britische Diätologen Australien/ ESPEN ASPEN Neuseeland Ernährungs- Nein Mit hohem MUST oder NRS 2002 Nein screening Ernährungsrisiko eingestuft Kalorien Lokale Praxis Keine IC Wenn verfügbar IC Keine IC Tag 1- 5 Hypokalorisch 1.2 g/kg 1.3g/kg Ziel Tag 3-5 1.2-2.0g/kg EN Zufuhr Gastral (bei GI Problemen) = = = postpylorisch Zusammensetzung 1.3-1.5kcal/ml 1.25-1.5kcal/ml Keine Empfehlung Proteinreich, standard, der EN Proteinreich Ballaststoffe bei hämodynamischer Stabilität GI-Managment GRV Cut off
The Central Role of Clinical Nutrition in COVID-19 Patients Francesco Ferrara SN Comprehensive Clinical Medicine 2020; 2: 1064-1068 Many authors have shown that amino acids have anti-inflammatory effects and the integration of arginine, glutamine, or glycine improves lung damage induced by infections or any other inflammatory event thus contributing to alveolar improvement in its integrity and function. In particular, the administration of glutamine has been shown to significantly reduce inflammatory cytokines without affecting other parameter
Effects of glutamine, taurine and their association on inflammatory pathway markers in macrophages Talita Sartori Inflammopharmacol 2018; 26:829–838 Our results showed an increase in viable cells and increased proliferation rates of cells treated with glutamine concentrations over 2 mM, These conditions also resulted in reduced TNF-a, IL-1a and H2O2 production, and higher production of IL- 10. These findings demonstrate that glutamine and taurine are able to modulate macrophages inflammatory pathways,
V. Cruzat Nutrients 2018, 10, 1564;
Alfredo Fernández-Quintela J. Clin. Med. 2020, 9, 2589
Effect of Vitamin C Infusion on Organ Failure and Biomarkers of Inflammation and Vascular Injury in Patients With Sepsis and Severe Acute Respiratory Failure The CITRIS-ALI Randomized Clinical Trial Alpha A. Fowler III JAMA. 2019;322(13):1261-1270 INTERVENTIONS Patients were randomly assigned to receive intravenous infusion of vitamin C (50 mg/kg in dextrose 5% in water, n = 84) or placebo (dextrose 5% in water only, n = 83) every 6 hours for 96 hours. ICU free days to day 28 in Hospital free days to day Vitamin C patients were 60 in Vitamin C patients significantly greater than were significantly greater Placebo patients p =0.3 than Placebo p
Vitamin C as prophylaxis and adjunctive medical treatment for COVID-19? Adam F. Feyaerts Nutrition 2020; 79-80: 110948 For example, a clinical trial is ongoing in which vitamin C (6 to 12 g/d) is adminis- tered intravenously for moderate and severe cases of COVID-19 pneumonia In cases of severe COVID-19, an (intravenous) high-dose regimen may be beneficial.
Intravenöses Vitamin C und ARDS Alberto Boretti PharmaNutrition 2020;12: 100190 18 klinische Studien mit 2004 Patienten zeigte sich ein verkürzter ICU Aufenthalt bei 44% bei i.v. Vit C Gabe Vit-C von 17.000mg/Tag National Institutes of Health (NIH) stellte fest, dass hohe Dosen Vit C (1.5g/kg/KG) sicher und ohne Nebenwirkungen sind. 26-jährige Frau mit viralem ARDS und ECMO erhielt 200mg/kg/KG/24h aufgeteilt. Ausgezeichnete Verbesserung schon am 2.Tag. Junger Patient mit erhielt i.v. Vit C 50.000mg in 1000ml Ringer über 90 Minuten. Pat. zeigte deutliche Verbesserung schon am nächsten Tag.
Eine klinische Studie an schwer erkrankten Covid 19 Patienten mit Pneumonie in Wuhan wurde vor Monaten begonnen und sollte demnächst veröffentlich werden (n = 140) Intravenöses Vitamin C mit einer Dosierung von 24 g/Tag für 7 Tage gegen Placebo Zielkriterien: Bedarf an mechanischer Ventilation, Bedarf an Vasopressoren, SOFA Score und ICU Aufenthalt sowie Mortalität.
Selenium and viral infection: are there lessons for COVID-19? Giovanna Bermano Br J Nutr 2020; 6:1-10
Selenium Deficiency Is Associated with Mortality Risk from COVID-19 Arash Moghaddam Nutrients 2020, 12, 2098; Normaler Se Status 45.7–131.6 µg/L (Serum SE) und 2.56–6.63 mg/L für SELENOP Konzentration (A) Einige Personen mit einem schlechten Immunsystem und einem niedrigen Se-Status können das Virus (blau) effizient verbreiten Menschen mit gutem Selenstatus (1–3)) sind möglicherweise weniger anfällig für einen schweren Krankheitsverlauf. (B) COVID-19 ist durch Entzündung, Hypoxie und hohe Cytokinkonzentrationen (z. B. IL-6) gekennzeichnet was zu einer Suppression von Selenoprotein führt. Es wird angenommen, dass zusätzliches Se diese schädlichen Ereignisse unterbrechen und zu besseren Chancen für die Genesung beitragen kann.
The Effect of Intravenous Selenium on Oxidative Stress in Critically Ill Patients with Acute Respiratory Distress Syndrom Ata Mahmoodpoor Immmunological Investigation 2019; 48(2): 147-159
L. M. Broman Acta Anaesthesiol Scand. 2020;64:803–809. A. Mahmoodpoor MMUNOLOGICAL INVESTIGATIONS 2019; 48 (2): 147–159
Zink – Respirationstrakt – COVID 19 Zn kann eine schützende Wirkung als vorbeugende und adjuvante Therapie von COVID-19 besitzen, indem es Entzündungen reduziert, die mukoziliäre Clearance verbessert, beatmungsinduzierte Lungenverletzungen verhindert und die antivirale und antibakterielle Immunität moduliert. A. V. SKALNY INTERNATIONAL JOURNAL OF MOLECULAR MEDICINE 2020; 46: 17-26,
Vitamin D deficiency contributes directly to the acute respiratory distress syndrome (ARDS) R.C.A. Dancer Thorax 2015; 70:617-642 In conclusion, we suggest that clinical strategies should be developed to replete vitamin D levels in patients at risk of ARDS and this approach might also have value as a treatment for established ARDS
Association of Vitamin D Status and COVID-19 Test Results David O. Meltze JAMA Network Open. 2020;3(9):e2019722 Ø deficient vitamin D status was associated with increased COVID-19 risk, Ø The low costs of vitamin D and its general safety, at least at doses of up to 4000 IU per day Ø clinical trials of interventions to reduce vitamin D deficiency are needed to determine if those interventions could reduce COVID-19 incidence,
COVID-19 Risk and Severity Is Increased in Vitamin D Deficiency Linda L. Benskin Front. Public Health 2020; 8:513. Vitamin D Insufficiency and Deficiency and Mortality from Respiratory Diseases H. Brenner Nutrients 2020, 12, 2488
Vitamin D modulation of innate immune responses to respiratory viral infections Mihnea T. Zdrenghea Rev Med Virol 2017; 27: e1909
Hadis Musavi ARCHIVES OF PHYSIOLOGY AND BIOCHEMISTRY 2020; Okt
COVID-19 Risk and Severity Is Increased in Vitamin D Deficiency Linda L. Benskin Front. Public Health 2020; 8:513. ESPEN
Evidence that Vitamin D Supplementation Could Reduce Risk of Influenza and COVID-19 Infections and Deaths William B. Grant Nutrients 2020, 12 (4)988; Um das Infektionsrisiko zu verringern, empfehlen Grant und Kollegen Personen mit Influenza- und / oder COVID-19-Risiko: einige Wochen lang 10.000 IE / Tag Vitamin D3 einzunehmen, (um die 25 (OH) D-Konzentrationen schnell zu erhöhen) gefolgt von 5000 IE /Tag (Ziel ist es, die 25 (OH) D-Konzentrationen über 40-60 ng / ml (100-150 nmol / l) zu erhöhen) Für die Behandlung von Menschen, die mit COVID-19 infiziert wurden, empfehlen die Autoren höhere Vitamin-D3-Dosen
Perspective: improving vitamin D status in the management of COVID-19 Maryam Ebadi European Journal of Clinical Nutrition (2020) 74:856–859 Empfehlung: Ø Patienten mit Vit. D Spiegel < 50nmol/l sollten 50.000IU 2x /Woche erhalten. Ø Nach einer Startdosis von 100.000IU sollte die Therapie mit 50.000IU 1x/Woche für die 2. und 3.Woche fortgeführt werden. Ø Dosen von 6000IU/Tag sind erforderlich um eine Serum 25(OH)D Konzentration über 100nmol/l zu erreichen. Ø Vitamin D Einnahmen von 15.000 IU/Tag gelten als sicher.
Resolvins in inflammation: Charles N. Serhan J Clin Invest 2018; 128(7): 2657 Charles N. Serhan Nature 2014; 510: 92 Resolvin E1 (RvE1) is an endogenous lipid mediator derived from the ω-3 polyunsaturated fatty acid eicosapentaenoic acid that displays proresolving actions
Intravenous Lipid Emulsions to Deliver Bioactive Omega-3 Fatty Acids for Improved Patient Outcomes Philip C. Calder Mar. Drugs 2019, 17, 274;
Fortbestehende Symptome nach ICU Aufenthalt Symptome Häufigkeit o Müdigkeit 35 (56.1%) o Atemnot 52 (53.1%) o Muskelschwäche 42 (42.9%) o Geschmacksstörungen 25 (25.5%) o Haarverlust 23 (23.5%) o Gewichtsverlust 8 (8.2%) o Inappetenz 6 (6.1%) o Störungen der Darmmotilität 5 (5.1%) o Schluckstörungen 4 (4.1%)
Sie können auch lesen




























































