Drei Highlights aus der Rheumatologie - Bayerisches Ärzteblatt

Die Seite wird erstellt Franziska Sauer
 
WEITER LESEN
Drei Highlights aus der Rheumatologie - Bayerisches Ärzteblatt
Drei Highlights aus der
Rheumatologie
In den vergangenen zwei Jahrzehnten            » konventionelle synthetische                  sollten Ärzte gerade in Zeiten zunehmender
hat die Rheumatologie bedeutende, vor            Disease-modifying-antirheumatic-             Spezialisierung mehr als das fachbezogene
allem medikamentöse Innovationen und             drugs (csDMARDs, zum Beispiel                erkrankte Organ sehen und zugleich die in
Entwicklungen durchlebt. Dadurch kann            Methotrexat – MTX, Leflunomid)               den vergangenen Jahren mehr und mehr in
ein Großteil der chronisch-entzündlichen                                                      den Fokus gerückten (insbesondere kardio-
Systemerkrankungen, zum Beispiel rheu-         » biologische DMARDs einschließlich            vaskulären) Komorbiditäten konsequent mit-
matoide Arthritis, Psoriasisarthritis, Grup-     Biosimilars (bDMARDs)                        behandeln. Der „klassische“ Rheumapatient
pe der Spondyloarthritiden, sehr effektiv                                                     stirbt in der Regel nicht an seiner primären
behandelt werden. Die Therapieziele sind       » neue, auf die Molekularstruktur              rheumatischen Erkrankung, sondern an den
heute klar in den geltenden nationalen wie       zielgerichtete (targeted) synthetische       Folgen von Komorbiditäten und Kompli-
internationalen Leitlinien formuliert – ins-     orale DMARDs wie Januskinase-                kationen (zum Beispiel kardiovaskulär, in-
besondere optimaler Behandlungserfolg            Inhibitoren (tsDMARDs)                       fektiös etc.). Insbesondere hinsichtlich der
mit möglichst Krankheitsstillstand (Remis-                                                    erhöhten Infektionsgefahr spielen Glukokorti-
sion) durch schnelle Diagnosestellung, um-     Glukokortikoide haben immer noch ihren         koide dosisabhängig bei Weitem die größte
gehenden gezielten Therapiebeginn und ein      Stellenwert in der Akuttherapie, im Lang-      Rolle!
strategisches Vorgehen (treat-to-target).      zeitverlauf sollten sie aber möglichst ver-
Hierbei stehen uns neben symptomati-           mieden bzw. notfalls in der niedrigst mög-     Die Rehabilitation mit ihrem ganzheitli-
schen (zum Beispiel NSAR, Glukokortikoide)     lichen Dosierung komedikativ eingesetzt        chen Ansatz (bio-psycho-soziales Modell)
mittlerweile eine Vielzahl von gezielten       werden.                                        hat das klare Ziel, die Partizipation von
krankheitsmodifizierenden Medikamenten                                                        Patienten sowohl am Arbeitsplatz als auch
zur Verfügung:                                 Rheumatische Erkrankungen sind überwie-        am alltäglichen Leben zu erreichen bzw.
                                               gend Systemerkrankungen und betreffen          wiederherzustellen. Dabei ist wichtig, dass
                                               nicht nur den Bewegungsapparat, sondern        sowohl individuelle patientenbezogene
                                               auch potenziell viele andere Organe. Deshalb   als auch Umweltfaktoren berücksichtigt

8       Bayerisches Ärzteblatt 1-2/2019
Drei Highlights aus der Rheumatologie - Bayerisches Ärzteblatt
Titelthema

                                                               © flownet Claus Speier/
                                                               CAO Photograhie
                                                                                         Dr. Alex Höfter

werden. Durch umfassende Informationen        Fall 1
(Schulungen, Vorträge, Seminare), aktive
bewegungs-/sporttherapeutische, passive       Eine 48-jährige, verheiratete, kinderlose Patientin,
balneo-physikalische Maßnahmen und            die von Beruf Lehrerin in Vollzeit und seit drei
darüber hinaus Ergotherapie, psychologi-      Jahren Konrektorin ist, empfinde ihre Tätigkeit
sche Verfahren, Diätberatung und vieles       als zunehmend „stressig“. Sie habe eine hohe
                                              Verantwortung und viele organisatorische Aufga-
mehr, versucht die Rehabilitation, neben
                                              ben zusätzlich zu ihrem Unterricht. Der Umgang
der wichtigen Krankheitsbewältigung die       mit ihren Schülern werde immer schwieriger.
Patienten zu einem dauerhaft gesünderen       Zu schaffen mache ihr vor allem der rüde Ton,
Lebensstil und mehr Eigenverantwortung        die mangelnde Disziplin und die zunehmende
und Eigeninitiative zu animieren. Der zu-     Respektlosigkeit gegenüber Vorgesetzten. Zu
nehmende Anteil von Patienten mit chro-       ihrem Direktor und ihren Kolleginnen habe sie
nischen Schmerzen und/oder psychoso-          ein gutes Verhältnis.
matischer Krankheitskomponente spiegelt
den Praxisalltag auch in der Rehabilitation   Sie klagt seit ca. 1,5 Jahren über zunehmende, zie-
wider, sodass die korrekte sozialmedizi-      hend-drückende, teils nach distal ausstrahlende
nische Leistungsbeurteilung hinsichtlich      Schmerzen im muskulären Bereich von Nacken-/
                                              Schulterregion, gesamtem Rückenbereich, Armen
Beruf bzw. letzter ausgeübter sozialver-
                                              und Beinen mit lokal zunehmender Druckemp-
sicherungspflichtiger Tätigkeit und allge-    findlichkeit. Gelenksbezogene Schmerzen und
meinem Arbeitsmarkt immer wieder eine         Schwellungen seien nicht aufgetreten. Eine vom
Herausforderung darstellt. Es treten häufig   behandelnden Orthopäden verordnete Massage-
Erkrankungen auf, mit denen auch Haus-                                                                     Abbildung 1: Fibromyalgie-Syndrom (FMS) – 18 defi-
                                              behandlung musste die Patientin schmerzbedingt               nierte Tender Points der ACR-1990-Klassifikationskri-
ärzte oder andere Fachärzte jederzeit kon-    abbrechen. Die Schmerzen treten in Ruhe und                  terien (mindestens elf der 18 Tender Points müssen
frontiert werden können.                      Belastung auf, seien ständig vorhanden, wenn                 empfindlich sein).

                                                                                                                Bayerisches Ärzteblatt 1-2/2019               9
Drei Highlights aus der Rheumatologie - Bayerisches Ärzteblatt
Titelthema

                                                                                                               Häufig mit Fibromyalgie-Syndrom (FMS)
                                                                       modifizierte vorläufige                 assoziierte funktionelle Störungen
                       ACR-1990-Klassifikationskriterien               diagnostische ACR-2010-
                                                                       Kriterien
                                                                                                               »   Gedächtnisstörungen,
                                                                                                                   Konzentrationsschwäche
 Obligates             CWP nach ACR-1990-Kriterien                     Regionaler Schmerzindex ≥ 7/19
 Hauptsyndrom          > drei Monate bestehende Schmerzen in:                                                  »   Verdauungsstörung,
                                                                       Schmerzorte auf der regionalen              Reizdarmstörung,
                       »   Achsenskelett (Halswirbelsäule oder         Schmerzskala                                abdominelle Schmerzen
                           vorderer Brustkorb oder Brustwirbel-
                           säule oder Lendenwirbelsäule) und                                                   »   nicht-erholsamer Schlaf
                       »   rechte und linke Körperhälfte und
                       »   oberhalb und unterhalb der Taille                                                   »   affektive Störungen
 Obligate              Vermehrte Druckschmerzhaftigkeit von            Symptomschwere-Score ≥ 5
 weitere Befunde/      mindestens elf von 18 „Tender Points“                                                   »   Angst
 Symptome
                                                                                                               »   Fatigue

 Ausschluss-           Keine                                           Ausschluss einer körperlichen           »   Parästhesien
 diagnostik                                                            Erkrankung, welche das
                                                                       typische Symptommuster                  »   Blasenprobleme
                                                                       ausreichend erklärt
Tabelle 1: ACR-Krititerien 1990 und 2010 für das Fibromyalgie-Syndrom (FMS).                                   »   Kopfschmerzen
CWP = „chronic widespread pain“, Symptomschwere-Score (SSS): Summe von Müdigkeit, nichterholsamen
Schlaf, kognitiven Problemen (0 = nicht vorhanden bis 3 = extrem ausgeprägt), Kopfschmerzen, Bauchschmer-      »   Schwindelgefühl
zen, Depression (jeweils 0 = nicht vorhanden, 1 = vorhanden), Spannweite des Summen-Scores: 0 bis 12 (siehe
auch Abbildung 2 und 3, Teil I+II).                                                                           Tabelle 2: Mögliche funktionelle Störungen.

auch in wechselnder Intensität, schmerzfrei sei        fällig polytope Druck- und Berührungsempfind-          Erkrankung, weswegen wir von einer weiteren
sie überhaupt nicht mehr. An Vorerkrankungen           lichkeit an zwölf von 18 typischen Tender Points       spezifischen Diagnostik absahen (leitlinienkon-
sei eine Psoriasis vulgaris seit der Jugend bekannt.   (Abbildung 1), zusätzlich deutlicher Druckschmerz      form). Ein Screening auf vermehrte seelische
2012 wurde eine Psoriasisarthritis diagnostiziert      auch an diversen anderen Kontrollpunkten (Mus-         Symptombelastung (Angst, Depression) ergab
mit blandem Verlauf unter effektiver medika-           kel-/Weichteilbereich im Rumpf- und Extremi-           Hinweise auf eine leichte Depressivität.
mentöser Einstellung (Haut und Gelenke) mittels        tätenbereich). Von rheumatologischer Seite (seit
MTX und bedarfsweise (selten) NSAR/topischen           Jahren bekannte) Daktylitis II. Zehe rechts ohne       Somit waren die ACR-Kriterien (ACR = Ame-
Dermatika. An zusätzlichen Symptomen werden            lokalen Druckschmerz, auch sonst keine zusätz-         rican College of Rheumatology) für ein Fibro-
rezidivierende Schlafstörungen, Tagesmüdigkeit,        lichen geschwollenen oder druckschmerzhaften           myalgie-Syndrom (FMS) erfüllt. Die Patientin
Erschöpfungssymptomatik, Kopfschmerzen, Kon-           Gelenke feststellbar, Wirbelsäulenbereich mit          erhielt leitliniengerecht ein multimodales Be-
zentrationsstörungen und weitere vegetative            diskreter Skoliose, altersentsprechend beweg-          handlungsprogramm aus unter anderem aktiver
Symptome (unter anderem Verdauungsstörun-              lich, beidseits waren deutliche paravertebrale         Bewegungstherapie, passiven Behandlungs-
gen und Stuhlunregelmäßigkeiten) angegeben.            Muskelverspannungen im Bereich der Hals- und           verfahren und psychoedukativen Therapien
Umfangreiche internistische, orthopädische und         Brustwirbelsäule vorhanden. Es zeigten sich mi-        (Einzelgespräche, Schmerz-/Stressgruppe, Pro-
neurologische Abklärungen ergaben bisher kei-          nimale Psoriasis-Effloreszenzen über der Ell-          gressive Muskelrelaxation – PMR – als Entspan-
nen pathologischen Befund. An Medikamenten             bogenstreckseite beidseits. Es lagen weder ei-         nungsverfahren), von medikamentöser Seite
wurden neben MTX 15 mg pro Woche s. c. und             ne Nagel- noch eine Kopfhautbeteiligung vor.           niedrigdosiert Amitriptylin (anfangs 10, dann
Folsäure 5 mg am Folgetag, bedarfsweise zuletzt        Neurologisch waren keine sensomotorischen              25 mg/die). Während des vierwöchigen Reha-
Analgetika wie Paracetamol, Ibuprofen, Novamin,        Ausfälle zu verzeichnen. Auf der Schmerzskala          Verlaufs kam es zwar zweimal zu einer kurz-
jeweils ohne subjektiv befriedigende Wirkung,          (Numerische Rating-Skala – NRS) wurde 7/10             zeitigen Schmerzverstärkung, was am ehes-
eingenommen. Gelegentlich werden topische              genannt, der Symptomschwere-Score (SSS) lag            ten mit der Dauer/Intensität des absolvierten
Dermatika (wegen blander Psoriasis vulgaris)           bei 8 (Tabelle 1, Abbildung 2).                        Sport- und Bewegungsprogrammes korrelierte,
angewendet. Eine vor Jahren diagnostizierte Hy-                                                               am Ende berichtete die Patientin jedoch über
pothyreose ist adäquat euthyreot substituiert.         Das ausführliche internistische Aufnahmelabor          eine deutlich gebesserte Schmerzsymp­tomatik
Bei ambulanter Arbeitsdiagnose eines chroni-           (einschließlich BKS, CRP, Blutbild, TSH basal, Vi-     (NRS: 7/10 auf 3/10). Ebenfalls deutlich gebes-
schen Schmerzsyndroms und wegen seit über              tamin D, CK, Krea/GFR, Elektrolyte, Leberwerte         sert waren Kopfschmerzen, Schlafverhalten
fünf Monaten bestehender Arbeitsunfähigkeit            usw.) war bis auf ein leicht erhöhtes Gesamt-          und Tagesmüdigkeit, sie fühle sich insgesamt
wurde eine stationäre Rehabilitation initiiert.        Cholesterin unauffällig. Die von der Patientin         körperlich deutlich fitter. Die psychoedukativen
                                                       mitgebrachten umfangreichen ärztlichen Vor-            Therapien in der Klinik haben ihr sehr geholfen,
Die körperliche Untersuchung zeigte einen un-          befunde (Labor, Bildgebung usw.) ergaben kei-          einiges im privaten und beruflichen Bereich in
auffälligen internistischen Aufnahmebefund, auf-       nen Hinweis auf eine zusätzliche somatische            Zukunft „anders zu machen“.

10        Bayerisches Ärzteblatt 1-2/2019
Drei Highlights aus der Rheumatologie - Bayerisches Ärzteblatt
Titelthema

Zur Stabilisierung des Reha-Erfolgs wurde als        » Gezielte Exploration weiterer Kernsymp-              » Basislabor (unter anderem BKS, CRP, CK,
ambulante sportliche Nachsorgeleistung in Hei-          tome (Müdigkeit, Schlafstörungen,                      Calcium, TSH basal, 25-OH-Vitamin D3)
matnähe Rehabilitationssport (Trocken- und Was-         Konzentrationsstörungen)
sergruppe) für sechs Monate verordnet, über den                                                             » Screening auf vermehrte seelische Symp-
psychologischen Dienst der Klinik wurde der Weg      » Vollständige medizinische Anamnese                      tombelastung (Angst und Depression),
für eine ambulante psychotherapeutische Vorstel-        inklusive Medikamentenanamnese                         zum Beispiel mittels Gesundheitsfrage-
lung (Weiterbehandlung) am Heimatort geebnet.                                                                  bogen PHQ-4 [1, 6].
                                                     » Vollständige körperliche Untersuchung
Die Patientin ist zuversichtlich, unter weiterer        (inklusive Haut-, neurologischem und                Eine fachpsychotherapeutische Untersuchung
Stabilisierung ihres Gesundheitszustandes in ab-        orthopädischem Befund)                              wird bei bestimmten Konstellationen (Tabelle 3)
sehbarer Zeit wieder in ihrem Beruf als Lehrerin                                                            empfohlen [7].
arbeiten zu können.

Das FMS ist ein funktionelles somatisches Syn-
drom (Beschwerdekomplex) mit den Kernsymp-
tomen chronischer Schmerz in mehreren Körper-
                                                        I. Bitte geben Sie an, wie ausgeprägt die folgenden Beschwerden in der vergangenen
regionen, Schlafstörungen bzw. nicht erholsamer
                                                           Woche bei Ihnen waren, indem Sie das entsprechende Kästchen ankreuzen.
Schlaf und Müdigkeit bzw. Erschöpfungsneigung
(körperlich und/oder geistig). Die aktuelle Studi-       0: nicht vorhanden
enlage erlaubt keine Aussagen zur Pathophysio-           1: geringfügig oder mild ausgeprägt – im Allgemeinen gering und/oder
logie des FMS. Vermutet wird, dass im Rahmen            		gelegentlich auftretend
eines bio-psycho-sozialen Krankheitsmodells              2: mäßig oder deutlich ausgeprägt – oft vorhanden und/oder mäßige Intensität
äußere Faktoren, wie zum Beispiel kritische Le-          3: stark ausgeprägt – ständig vorhandene, lebensbeeinträchtigende Beschwerden
bensereignisse oder Vorerkrankungen und lern-
abhängige Faktoren (inadäquate Strategien zur               Tagesmüdigkeit                                      □0       □1      □2       □3
Trauma-/Stressbewältigung) bei entsprechender               Probleme beim Denken oder Gedächtnis                □0       □1      □2       □3
                                                            Morgenmüdigkeit (nicht erholsamer Schlaf)           □0       □1      □2       □3
genetischer Prädisposition zu Veränderungen
des zentralen, peripheren und autonomen Ner-
vensystems führen. Dies führt zu einem hete-            II. Wurden Sie in den vergangenen sechs Monaten durch eines der folgenden
rogenen Beschwerdebild mit Schmerz, Fatigue,                Symptome geplagt?
Schlafstörungen, vegetativen und psychischen
Symptomen (Tabelle 2) [1].                                  Schmerzen oder Krämpfe im Unterbauch                □ Ja (1)		       □ Nein (0)
                                                            Depression                                          □ Ja (1)		       □ Nein (0)
Die klinische Diagnose des FMS kann nach den                Kopfschmerz                                         □ Ja (1)		       □ Nein (0)
ACR-Klassifikationskriterien von 1990 oder
den modifizierten ACR-Kriterien von 2010 ge-
                                                        III. Bitte geben Sie an, ob Sie in den vergangenen sieben Tagen Schmerzen oder
stellt werden (Tabelle 1) [1, 2]. Sie beruht auf
                                                             Berührungsempfindlichkeit in den unten aufgeführten Körperregionen hatten.
der Anamnese des typischen Symptomkom-
                                                             Bitte kreuzen Sie das jeweilige Kästchen an, wenn diese Körperregion
plexes, der klinischen Untersuchung und dem                  schmerzhaft oder druckempfindlich ist. Bitte bewerten Sie die rechte und
Ausschluss anderer als Ursache in Frage kom-                 linke Seite getrennt.
mender Erkrankungen. Die Diagnose kann also
auch ohne Untersuchung der Tender Points                □ Schulter, links  □ Oberschenkel, links                □ Kreuz
gestellt werden. Das FMS ist nicht pauschal mit         □ Schulter, rechts □ Oberschenkel, rechts               □ Oberer Rücken (Brustwirbelsäule)
einer anhaltenden somatoformen Schmerzstö-              					                                                   □ Nacken
rung (ICD-10: F45.40) bzw. einer chronischen
Schmerzstörung mit psychischen und soma-                    □ Hüfte, links        □ Unterschenkel, links
                                                            □ Hüfte, rechts       □ Unterschenkel, rechts
tischen Faktoren (ICD-10: F45.41) bzw. einer
somatischen Belastungsstörung gleichzuset-                  □ Oberarm, links  □ Kiefer, links                   □ In keiner der genannten
zen. Unterschiedlich schwere Verlaufsformen                 □ Oberarm, rechts □ Kiefer, rechts                    Körperregionen Schmerzen
existieren, eine allgemein anerkannte Schwere-
gradeinteilung existiert jedoch nicht. Empfoh-              □ Unterarm, links □ Brustkorb
lene krankheitsspezifische Testinstrumente sind             □ Unterarm, rechts □ Bauch
der FM-Symptom-Fragebogen (Abbildung 2)
[1, 3], der Patient-Health-Questionnaire 15
(PHQ-15-Score) [1, 4] und der Fibromyalgia-             IV. Waren die Beschwerden, die in den Fragen I bis III aufgeführt sind, in der Regel
Impact-Questionnaire (FIQ) [1, 5]. Die obligate             in den vergangenen drei Monaten vorhanden?
somatische Diagnostik bei Erstevaluation eines
möglichen FMS umfasst:                                      □ Ja                  □ Nein

                                                     Abbildung 2: Fibromyalgiesymptom-Fragebogen (Teil I bis IV) – Der Gesamtscore (maximal 31 Punkte) des Fra-
» Ausfüllen einer Schmerzskizze/Schmerz-             gebogens ist die Summe des Symptomschwere-Scores SSS (Teil I+II, maximal zwölf Punkte) und des Regiona-
   skala und des Fibromyalgie-Symptom-               len Schmerzindex (Teil III, maximal 19 Punkte), leichtere Form des FMS: Gesamtscore zwölf bis 19, schwerere
   Fragebogens                                       Form: Gesamtscore 20 bis 31.

                                                                                                                 Bayerisches Ärzteblatt 1-2/2019            11
Drei Highlights aus der Rheumatologie - Bayerisches Ärzteblatt
Titelthema

Bei typischem Beschwerdekomplex und fehlenden           » Erklärung der Beschwerden mithilfe eines               » Partizipative Entscheidungsfindung mit
klinischen Hinweisen auf internistische, ortho-             bio-psycho-sozialen Krankheitsmodells in                Besprechung eines möglichen Nutzens
pädische oder neurologische Erkrankungen wird               anschaulicher Weise, zum Beispiel durch                 oder Schadens von (nicht-)medikamentösen
empfohlen, keine weitere apparative Diagnostik              das Vermitteln psycho-physiologischer                   Therapieoptionen
durchzuführen.                                              Zusammenhänge (Stress, Teufelskreis-
                                                            Modell)                                              » Behandlung häufiger komorbider seelischer
Zu Beginn der Behandlung ist eine ausführliche                                                                      (zum Beispiel Depression) und körperlicher
Information des Patienten über die Diagnose             » Normale Lebenserwartung                                   (Kreuzschmerz) Störungen entsprechend
eines FMS in folgenden Punkten wichtig:                                                                             aktueller Leitlinien
                                                        » Linderung der Beschwerden durch eigene
» Keine organische Krankheit, sondern eine                  Aktivitäten der Patienten                            » Regelmäßige Überprüfung des Nutzens
   funktionelle Störung                                                                                             (Symptomreduktion und Verbesserung der
                                                        Für das Behandlungskonzept wichtig sind:                    Leistungsfähigkeit versus Nebenwirkungen
» Legitimität der Beschwerden                                                                                       und Aufwand) einer eingeleiteten Therapie,
                                                        » Erarbeitung individueller und realistischer               Fortsetzung einer Therapie nur im Falle ei-
                                                            Therapieziele                                           nes positiven Nutzens

   Dieser Fragebogen ist ein wichtiges Hilfsmittel, um Ihnen die bestmögliche Behandlung zukommen zu lassen.
   Ihre Antworten können Ihrem Arzt helfen, Ihre Beschwerden besser zu verstehen. Bitte beantworten Sie jede Frage so gut
   Sie können. Überspringen Sie Fragen bitte nur, wenn Sie dazu aufgefordert werden.

   Name:                               Alter:                               Geschlecht:		Datum:

   1. Wie stark fühlten Sie sich im Verlauf der                                 Nicht                           Wenig                               Stark
      vergangenen vier Wochen durch die                                     beeinträchtigt                   beeinträchtigt                     beeinträchtigt
      folgenden Beschwerden beeinträchtigt?

   a) Bauchschmerzen			                                                          □		                                 □		                                □

   b) Rückenschmerzen			                                                         □		                                 □		                                □

   c) Schmerzen in Armen, Beinen oder Gelenken		                                 □		                                 □		                                □
      (Knie, Hüften, usw.)

   d) Menstruationsschmerzen oder andere Probleme 		                             □		                                 □		                                □
      mit der Menstruation

   e) Schmerzen oder Probleme beim Geschlechtsverkehr		                          □		                                 □		                                □

   f) Kopfschmerzen			                                                           □		                                 □		                                □

   g) Schmerzen im Brustbereich			                                               □		                                 □		                                □

   h) Schwindel			                                                               □		                                 □		                                □

   i) Ohnmachtsanfälle			                                                        □		                                 □		                                □

   j) Herzklopfen oder Herzrasen		                                               □		                                 □		                                □

   k) Kurzatmigkeit			                                                           □		                                 □		                                □

   l) Verstopfung, nervöser Darm oder Durchfall		                                □		                                 □		                                □

   m) Übelkeit, Blähungen oder Verdauungsbeschwerden		                           □		                                 □		                                □

   n) Schwierigkeiten ein- oder durchzuschlafen 		                               □		                                 □		                                □
      oder vermehrter Schlaf

   o) Müdigkeit oder Gefühl, keine Energie zu haben		                            □		                                 □		                                □

Abbildung 3: Gesundheitsfragebogen PHQ-15
nicht beeinträchtigt = 0, wenig beeinträchtigt = 1, stark beeinträchtigt = 2; Berechneter Skalensummenwert: 0 bis 4 = minimale somatische Symptomstärke/Somatisierung,
5 bis 9 = milde somatische Symptomstärke/Somatisierung, 10 bis 14 = mittelgradig ausgeprägte Symptomstärke/Somatisierung, 15 bis 30 = schwer ausgeprägte Symp-
tomstärke/Somatisierung

12        Bayerisches Ärzteblatt 1-2/2019
Titelthema

» Berücksichtigung von Präferenzen/                 Eine fachpsychotherapeutische Untersuchung wird laut Leitlinie bei folgenden
   Komorbiditäten der Patienten                     Konstellationen empfohlen:

» Bei leichter Ausprägung des FMS Ermuti-           »   Hinweise für vermehrte seelische Symptombelastung (Angst, Depression)
   gung zu angemessener körperlicher und            »   Anamnestische Angaben von aktuellen schwerwiegenden psychosozialen Stressoren
   psychosozialer Aktivierung
                                                    »   Anamnestische Angaben von aktuellen oder früheren psychiatrischen Behandlungen
» Bei schwererer Ausprägung des FMS                 »   Anamnestische Angaben von schwerwiegenden biografischen Belastungsfaktoren
   Besprechen multimodaler Therapien und
   einer zeitlich befristeten medikamentösen        »   Maladaptiver Krankheitsverarbeitung
   Therapie
                                                    »   Subjektive psychische Krankheitsattributionen

Behandlungsmöglichkeiten des FMS mit hohem         Tabelle 3: Indikationen zu fachpsychotherapeutischer Abklärung.

Evidenzlevel sind:

» Ausdauertraining mit geringer bis mittlerer
   Intensität zwei- bis dreimal pro Woche
   über mindestens 30 Minuten, zum Beispiel        Fall 2                                                 Diabetes mellitus Typ 2, Hypercholesterinämie und
   schnelles Spazierengehen, Walking, Fahrrad-                                                            seit Kurzem arterielle Hypertonie. Bei Aufnahme
   fahren, Ergometertraining, Tanzen, Aqua-        Bei einem 56-jährigen Patienten wurde im Juni          zeigten sich laborchemisch keine erhöhten Ent-
   jogging                                         2011 eine rheumatoide Arthritis festgestellt. Er       zündungsparameter, leicht erhöhte Transaminasen
                                                   wurde anfangs mit Glukokortikoiden und NSAR            und S-Harnsäure von 8,4 mg/dl. Klinisch war ein
» Wasser-/Trockengymnastik mit geringer bis        und seit Juli 2017 mit DMARD MTX oral behan-           Gelenk leicht geschwollen (Fingergrundgelenk
   mittlerer Intensität zwei- bis dreimal pro      delt. Wegen insuffizienter Wirkung erfolgte eine       II rechts) und keine relevante Morgensteifigkeit
   Woche über mindestens 30 Minuten                Dosissteigerung von MTX und parenteraler Gabe.         vorhanden. Disease-Activity-Score (DAS) 28 von
                                                   Im weiteren Verlauf wurde wegen anhaltender            2,2 (entsprechend Remission), an Medikamenten
» Kognitive Verhaltenstherapie                     Krankheitsaktivität auf eine Kombination von           wurden zu dem Zeitpunkt ein Statin, ASS 100
                                                   MTX mit Leflunomid umgestellt. Ab Oktober 2012         mg, ACE-Hemmer/HCT und 10 mg MTX s. c. in
» Entspannungsverfahren (zum Beispiel              wurde dann wegen insuffizienter Wirkung eine           Kombination mit dem Biologikum Etanercept
   PMR), nur in Kombination mit anderen            Kombination von MTX mit erstem Biologikum              (TNF-alpha-Hemmer) verabreicht.
   Verfahren                                       (TNF-alpha-Hemmer) gegeben. Ab März 2016
                                                   erfolgte eine Umstellung auf MTX und zweitem           Während des stationären Reha-Aufenthaltes
» Meditative Bewegungstherapien (zum               Biologikum (TNF-alpha-Hemmer). Seither zeigt           (am elften Tag) trat akut eine nächtliche Mon-
   Beispiel Tai Chi, Qigong, Yoga)                 sich ein stabiler Krankheitsverlauf. Eine Gluko-       arthritis des linken Kniegelenkes mit Überwär-
                                                   kortikoid-Gabe war in den vergangenen zwei             mung, Rötung und heftigsten Schmerzen auf.
» Multimodale Therapie (mindestens ein             Jahren nicht mehr notwendig. An Komorbidi-             Anamnestisch berichtete der Patient, vor ca.
   aktives und ein passives Verfahren)             täten sind bekannt: diätetisch beherrschbarer          zehn Wochen auf das linke Kniegelenk gestürzt

» Zeitlich befristet (drei bis sechs Monate)
   medikamentöser Einsatz von Amitriptylin                      Anzeige
   (10 bis 50 mg/die)

» Weitere zeitlich befristete medikamentöse                                           Für gehobene
   Therapiemöglichkeiten sind der selektive
   Serotonin-Noradrenalin-Wiederaufnahme-                                             Ansprüche:
   hemmer (SSNRI) Duloxetin (bei komorbider
   Majordepression und/oder generalisierter                                           TECHNOLOGIEN,
   Angststörung) sowie das zur Gruppe der
   Antikonvulsiva gehörende Pregabalin (bei                                                  DIE ÜBERZEUGEN.
   komorbider generalisierter Angststörung).
   Nicht empfohlen werden starke Opioide
   und NSAR/COX-2-Hemmer).                                                                                  DC-70EXP
                                                                                                            with
Basierend auf zahlreichen Studien und breitem
Konsens zwischen den Fachgesellschaften hat die
2017 veröffentlichte S3-Leitlinie zu einer Ver-
sachlichung der Diskussion über das FMS geführt
                                                                                                                     E-CUBE 12
und gleichzeitig evidenzbasierte Maßnahmen be-
züglich Diagnostik, Therapie, Rehabilitation und
ICF-basierter Begutachtung etabliert.                                              Seybold Medizintechnik
                                                                                   Sonothek München: Hubertusstraße 4, 82110 Germering
                                                                                   Tel. 089 / 215 466 900 I www.seybold-medtech.de

                                                                                                                Bayerisches Ärzteblatt 1-2/2019        13
Titelthema

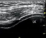
Abbildung 4: Potenzielles sonografisches Zeichen der    Abbildung 5: Röntgen linkes Kniegelenk – Verkalkung   Abbildung 6: Polarisationsmikroskop –
Gicht, zum Beispiel Knie; typisches Doppelkontur-Zei-   der Menisken (Chondrokalzinose).                      Harnsäurekristalle.
chen (roter Pfeil) [15]. LK = Laterale Kondyle

zu sein, eine damalige orthopädische Abklä-             Anfallsprophylaxe 2 x 0,5 mg/die), zusätzlich         ACE-Hemmer und HCT) infrage. Die Recherche
rung einschließlich Röntgen habe keinen weg-            lokale antiphlogistische Maßnahmen. Darunter          bezüglich früherer Laborkontrollen ergab kons-
weisenden traumatischen Befund erbracht. Er             kam es zu einer raschen Beschwerdelinderung.          tant Serum-Harnsäurewerte im (hoch-)normalen
habe ca. eine Woche entzündungshemmende                 Parallel dazu begannen wir mit einer kausalen         Bereich (maximal 7,1 mg/dl), die Alkoholanamne-
Schmerzmittel eingenommen und das Kniege-               harnsäuresenkenden Therapie mit Allopurinol,          se des Patienten war fortlaufend blande. Neben
lenk geschont, nach drei Wochen sei er dies-            bei normaler Nierenfunktion Startdosis 100 mg/        einer Ernährungsberatung modifizierten wir die
bezüglich ohne Medikamente beschwerdefrei               die (empfohlene Dosissteigerung zum Beispiel          antihypertensive Medikation (Austausch von
gewesen. Zum Zeitpunkt der Kniegelenksar-               alle zwei bis vier Wochen um 100 bis 200 mg           HCT durch einen Calcium-Antagonisten) und
thritis zeigte sich sonografisch eine deutliche         bis zum Erreichen des Serumharnsäure-Zielwer-         eliminierten dadurch einen häufig in der Praxis
lokale Ergussbildung, minimale synoviale Proli-         tes von < 6 mg/dl). Die Standarddosis beträgt         auftretenden Auslöser erhöhter Harnsäurewerte
ferationszeichen, keine spezifischen pathologi-         300 mg/die, die maximale Dosis bis 800 mg/die         und möglicher Gichtanfälle [8, 9, 10].
schen Knorpel-/Knochenstrukturen (zum Beispiel          [8, 9]. Weitere zugelassene harnsäuresenkende
Doppelkonturzeichen bei Gicht, Abbildung 4).            Medikamente sind das Urikostatikum Febuxostat         Der Patient war durch die eingeleiteten Therapie-
Das mitgebrachte Röntgenbild des linken Knie-           (bevorzugt bei eingeschränkter Nierenfunktion),       maßnahmen innerhalb weniger Tage beschwer-
gelenkes zeigte neben leichtgradigen degene-            Urikosurika (Benzbromaron, Probenecid) und in         defrei und konnte die stationäre Rehabilitation
rativen Veränderungen feine Verkalkungen des            Kürze auch eine (6/2018 von der EMA zur Zulas-        erfolgreich fortsetzen.
Gelenkknorpels medial und lateral (Abbildung 5),        sung empfohlene, bereits über die internationa-
aktuell laborchemisch deutlich erhöhte humorale         le Apotheke erhältliche) fixe Kombination aus
Entzündungsparameter (BKS, CRP, Leukozytose),           Allopurinol und Lesinurad (neues Wirkprinzip,         Fall 3
Harnsäure 7,2 mg/dl, übriges Routinelabor unauf-        ORAT1-Inhibitor).
fällig. Zur differenzialdiagnostischen Abklärung                                                              Bei einer 61-jährigen Patientin sind folgende
(zum Beispiel Schub der rheumatoiden Arthritis,         Entgegen früheren Empfehlungen kann gemäß             Erkrankungen bekannt: Diabetes mellitus Typ 2,
septische Arthritis, Pseudo-Gicht, Gicht usw.)          der Leitlinie von 2016 [8] schon vor Abklingen        Hyperlipidämie, Adipositas Grad I, chronisch er-
wurde eine umgehende Gelenkpunktion durch-              eines akuten Gichtanfalls mit der urikostatischen     höhter Nikotinkonsum (15 Zigaretten täglich seit
geführt. Dabei waren ein makroskopisch milchig-         Therapie (Allopurinol/Febuxostat) begonnen wer-       ca. 25 Jahren), bekannte Coxarthrose beidseits
trüber Erguss, in der Synoviaanalyse eine hohe          den. Auch eine bereits begonnene Urikostatika-        und ein degenerativ-fehlstatisches Wirbelsäu-
Zellzahl/Neutrophilenanteil, im Polarisationsmi-        Therapie sollte nicht wegen eines darunter (er-       lensyndrom. Vor ca. einem Jahr setzte ein relativ
kroskop (Abbildung 6) nadel-/stäbchenförmige,           neut) auftretenden Gichtanfalls unterbrochen          akuter Krankheitsbeginn mit Kopfschmerzen,
negativ doppelbrechende, teils intrazelluläre           werden, da Schwankungen des Serumharnsäu-             Abgeschlagenheit, B-Symptomatik, subfebrilen
Kristalle nachweisbar. Damit war die Diagnose           respiegels wiederum Gichtanfälle begünstigen          Temperaturen, bilateralen Schulterschmerzen,
„akute Arthritis urica“ gestellt.                       können.                                               Nackenschmerzen und ausgeprägter Morgenstei-
                                                                                                              figkeit ein. Laborchemisch zeigten sich deutlich
Die 2016 aktualisierte Therapieleitlinie (S2e-          Die Prophylaxe mit Colchicin sollte in der Regel      erhöhte Entzündungsparameter (Sturzsenkung,
Leitlinie) der Deutschen Gesellschaft für Rheu-         für ca. drei bis sechs Monate durchgeführt werden     hohes CRP).
matologie [8] sieht für die Akuttherapie der Gicht      (Dosis: 0,5 bis 1 mg/die). Der dauerhafte Zielwert
in Abhängigkeit bestehender Komorbiditäten/             der Serumharnsäure nach einem Gichtanfall             Nach weiterer Diagnostik von haus-/fachärzt-
Kontraindikationen mehrere medikamentöse                liegt bei < 6 mg/dl, bei Nachweis von Gichttophi      licher Seite erfolgte die Diagnosestellung einer
Optionen vor: NSAR/COX-2-Hemmer, Colchi-                < 5 mg/dl [8, 9, 10].                                 Polymyalgia rheumatica (ohne klinischen Hin-
cin oder Glukokortikoide. Wir entschieden uns                                                                 weis auf Riesenzellarteriitis). Daraufhin wurde
aufgrund der Komorbiditäten (arterielle Hy-             Als Ursache des erhöhten Harnsäurespiegels mit        mit einer Glukokortikoidtherapie (Prednisolon
pertonie, Diabetes mellitus Typ 2) für Colchicin        erstmaligem Gichtanfall kommt anamnestisch            30 mg/die) begonnen, Dosisreduktion zunächst
(Aufsättigung mit 1 mg, dann 3 x 0,5 mg/die             am ehesten eine vor ca. drei Monaten begonne-         auf 25 mg, dann 20 mg/die unter regelmäßiger
bis zum Sistieren der Beschwerden, danach zur           ne antihypertensive Therapie (Kombination aus         Kontrolle von Labor/Klinik.

14        Bayerisches Ärzteblatt 1-2/2019
Titelthema

Der Versuch einer weiteren schrittweisen Predni-     ca. einer Woche kam es im Rahmen einer Grup-          erfolgen. Ein zahnärztlicher Termin poststatio-
solon-Dosisreduktion um 2,5 mg [11, 12] gelang       pengymnastik zu einem akuten Schmerzsyndrom           när am Heimatort wurde vereinbart, um dann
jedoch leider nicht, es kam zweimal (bei Tagesdo-    im Bereich der rechten dorsolateralen Thorax-         mit der leitliniengerechten Osteoporosetherapie
sis von 15 bzw. 12,5 mg) zu einer Rezidivsymp-       region. Zunächst wurde symptomatisch analge-          möglichst schnell beginnen zu können. Die Pati-
tomatik. Deshalb erfolgte ambulant eine weitere      tisch therapiert, aufgrund progredienter Schmer-      entin konnte die stationäre Rehabilitation nach
ausführliche, insbesondere apparativ-technische      zen erfolgte die weitere diagnostische Abklärung      Modifizierung des aktiven/passiven Therapiepro-
Diagnostik (einschließlich PET-CT), die jedoch       (Röntgen, CT). Dabei wurde eine nicht dislozierte     gramms unter symptomatischer Analgetika-Gabe
keinen Hinweis auf einen malignen Tumor (para-       Rippenfraktur (7. Rippe) nachgewiesen. Zur wei-       (Metamizol) erfolgreich beenden.
neoplastisches Syndrom!) oder auch Riesenzell­       teren Abklärung wurde eine Knochendichtemes-
arteriitis (Großgefäßvaskulitis) ergab. Daraufhin    sung (DXA) durchgeführt mit dem Befund einer          Das Literaturverzeichnis kann im Internet
wurde eine immunmodulierende Therapie mit dem        höhergradigen Osteoporose (T-Score LWS: -3,5;         unter www.bayerisches-ärzteblatt.de (Ak-
cDMARD MTX subkutan (15 mg pro Woche) ein-           T-Score Schenkelhals: -3,9; NW: > -1,0; Osteope-      tuelles Heft) abgerufen werden.
geleitet (Ziel: kummulativ steroidsparender Effekt   nie: -1,0 bis -2,5; Osteoporose: < -2,5). Die Indi-
und bessere Wirkung als unter GK-Monothera-          kation für eine spezifische Osteoporosetherapie       Der Autor erklärt, dass er keine finanzi-
pie). Ca. acht Wochen nach MTX-Beginn gelang         war somit gegeben [13].                               ellen oder persönlichen Beziehungen zu
eine langsame, schrittweise Dosisreduktion des                                                             Dritten hat, deren Interessen vom Manu-
Prednisolons (zunächst in 2,5-mg-Schritten) auf      Laborchemisch war das 25-OH-Vitamin D3 mit            skript positiv oder negativ betroffen sein
10 mg/die, danach weitere Reduktion in 1-mg-         18 ng/ml unterhalb des empfohlenen Normbe-            könnten.
Schritten. Die aktuelle Dosis lag bei 8 mg/die mit   reichs (ca. 35 bis 60 ng/ml). Die Patientin wurde
begleitender Vitamin-D-Einnahme (diese erfolgte      ausführlich über die generellen Empfehlungen
seit etwa sechs Monaten, jedoch nach anamnes-        wie körperliche Aktivität, kalziumreiche Ernäh-
tischen Angaben unregelmäßig), anamnestisch          rung, allgemeiner Lebensstil (Nikotinabstinenz!)
„normale“ Ernährungsgewohnheiten, keine Nah-         und die medikamentösen Therapiemöglichkeiten           Autor
rungsmittelunverträglichkeiten bekannt.              aufgeklärt, eine forcierte, vorübergehend hö-
                                                     herdosierte orale Vitamin-D-Substitution wur-          Dr. Alex Höfter
Vor ca. sechs Monaten erlitt die Patientin eine      de eingeleitet. Zugelassen zur Therapie einer          Facharzt für Innere Medizin,
Ermüdungsfraktur im Mittelfußbereich rechts-         Glukokortikoid-induzierten Osteoporose sind            Schwerpunkt Rheumatologie
seitig nach längerer Wanderung (konservative         laut AWMF-Leitlinie bei der postmenopausalen
Behandlung). Eine weitere Diagnostik erfolgte        Frau die Bisphosphonate Alendronat, Risedro-           Reha-/Rheuma-Zentrum Bad Aibling,
nicht. Die jetzige stationäre Rehabilitation er-     nat und Zoledronat, das humane rekombinante            Ärztlicher Direktor, Klinik Wendelstein,
folgte wegen einer Coxarthrose beidseits, ei-        Parathormon-Fragment Teriparatid [13, 14] und          Deutsche Rentenversicherung Bund,
nes bekannten degenerativen Wirbelsäulen-            seit 2018 auch der RANKL-Inhibitor Denosumab.          Kolbermoorer Straße 56, 83043 Bad Aibling
syndroms und der Polymyalgia rheumatica. Die         Die Patientin wurde ausführlich über das Neben-
Patientin erhielt ein individuelles und auf ihre     wirkungsprofil der spezifischen Osteoporose-           Chefarzt, Rheumaklinik Bad Aibling,
rheumatologischen/orthopädischen Erkrankun-          Medikamente aufgeklärt, insbesondere sollte vor        Deutsche Rentenversicherung Nordbayern,
gen abgestimmtes physiotherapeutisches und           Therapiebeginn eine zahnärztliche Untersuchung         Ghersburgstraße 20, 83043 Bad Aibling
balneophysikalisches Therapieprogramm. Nach          (cave: seltene Nebenwirkung Kiefernekrose!)

            Anzeige

                                                                                                                      Mit umfangreichen Reporting-
                                                                                                                    Lösungen und aussagekräftigen
                                                                                                                   Kennzahlen decken wir Potenziale
                                                                                                                                          zügig auf.

                                                                                                                  Mit einem Höchstmaß an Qualität,
                                                                                                                Kompetenz und Durchsetzungskraft.

                                                                                                                           Ganz nah, ganz sicher.
 IHRE PERFEKTE PRIVATABRECHNUNG
                                 richtungsweisende Transparenz
                Sprechen Sie mit uns: 089 2000 325-10 • www.pvsbayern.de/angebot
Sie können auch lesen