Nahrungsmittel-Allergien-Nahrungsmittel-Intoleranzen - Labors.at
←
                            
                                                            
                                →
                                
                            Transkription von Seiteninhalten
                            
                        Wenn Ihr Browser die Seite nicht korrekt rendert, bitte, lesen Sie den Inhalt der Seite unten
                        LABORS.AT
            ThermoFischer Scientific
            Mittwoch, 18. April 2018
                     Wien
 Nahrungsmittel-Allergien-
Nahrungsmittel-Intoleranzen
                  Lili Kazemi-Shirazi
             Klinik für Innere Medizin III
     Abt. für Gastroenterologie & Hepatologie
           Medizinische Universität Wien
                                           Klinische Abteilung für
                                           Gastroenterologie und Hepatologie
                                           Univ.Klinik für Innere Medizin III
                                                                         1Allergie             Intoleranz
     Erworbene          Überempfindlichkeit
  Überreaktion des     ohne Beteiligung des
   Immunsystems;          Immunsystems
  Toleranz möglich
      Beispiel Milchunverträglichkeit
Kuhmilchallergie:          Laktoseintoleranz:
→Sojamilch               →Laktosefreie ProdukteSubakut-
                                         chronisch
                                         v.a. Haut, GI
IgE vs non-IgE mediierte vs gemischte NM-Allergien
      Cave Anaphylaxie!UpToDate®
Turnball JL et al, APT 2015
              IgE-mediierte NM-Allergie
    • 6-8% der Kinder
          – Kuhmilch, Ei, Soja, Erdnuss, Nüsse, Fisch,
            Schalentiere, Weizen
    • 3-4% der Erwachsenen
          – Primär: selten
                • Erdnuss, Nüsse, Fische, Schalentiere
          – Sekundär: häufig, Kreuzallergie mit Pollen
                • Orales Allergie Syndrom (OAS)
                • Birke: Äpfel, Nüsse
                • Beifuß: Sellerie, Karotte, Gewürze     5Orales Allergie Syndrom (OAS)
            Pollen-food allergy syndrome (PFAS)
Mechanismus: Kreuzallergie (homologe Proteine/Epitope)
                                                                       JACI 2017
                 Kazemi-Shirazi et al, Int Arch Allergy Immunol 2002
                 Kazemi-Shirazi L et al, JACI 2000                            6NM-Allergie: Symptome
• Nach Zufuhr von Nahrungsmitteln
• Symptome
  – Übelkeit, Erbrechen, Bauchschmerz, Durchfall
  – Flush, Pruritus, Urtikaria, Angiödem
  – Giemen
  – Benommenheit,Synkope
                 UpToDate®
                 Turnball JL et al, APT 2015   8Anaphylaxie: Definition und Ursachen
     • schwere, lebensbedrohliche, generalisierte od.
       systemische Überempfindlichkeitsreaktion
     • Am häufigsten:
        – Wespen-, Bienenstich
        – Medikamente
        – Nahrungsmittel
                 • Sonderform (selten):
                   Food dependent exercise-induced anaphylaxis
     • Tryptase Erhöhung
UpToDate®
Turnball JL et al, APT 2015Einteilung der Grade der Anaphylaxie nach Ring und Mesmer
      (Schleim)Haut                      GI-Trakt      Atemwege           Herz/Kreislauf
      Juckreiz, Urtikaria
 I    Flush, Angioödem
                                             -               -                      -
                                                          Rhinitis            Tachykardie
      Juckreiz, Urtikaria                 Nausea                           Anstieg ≥ 20/min
II    Flush, Angioödem                    Krämpfe
                                                         Heiserkeit
                                                                          Blutdruckabfall ≥ 20
                                                      Laryng. Dyspnoe           mm Hg
                                                        Larynxödem
      Juckreiz, Urtikaria                Erbrechen                            Schock
III   Flush, Angioödem                   Defäkation
                                                      Bronchospasmus
                                                                           Bewusstlosigkeit
                                                          Zyanose
      Juckreiz, Urtikaria                Erbrechen             Atemstillstand oder
IV    Flush, Angioödem                   Defäkation          Herz-/Kreislaufstillstand
Ring et al; Allergo J 2007; 16: 420–34Beteiligung verschiedener Organsysteme bei anaphylaktischen Reaktionen
            (2012 Patienten aus Deutschland, Österreich, Schweiz)
   2500
           gesamt
   2000
                         Haut
                         84%
                                  Herz-Kreislauf
                                       72%         Atmung
   1500                                              68%
   1000                                                        GI-Trakt
                                                                 40%
    500
      0
                                                              Worm M, Allergy 2012Diagnostik bei NM-Allergie
• Anamnese
   – Das Wichtigste!
• Hauttest
     – Pricktest mit kommerziellen Extrakten
     – Prick-by-prick mit frischen NM
• In vitro Tests (Ergebnis in kUA/L)                                               Auswahl und
     –   Immunoassays (RAST, FEIA)                                                 Interpretation
     –   Messung Gesamt-IgE im Serum                                           in Kontext zu Klinik!
     –   Nachweis NM-spezifischer IgE im Serum
     –   Komponenten-spezifische Tests
          • zB:Erdnuss: Ara h 2 (stabil, schwere Reaktion), Ara h 8 (labil)
• Ernährungsprotokoll
• Eliminationsdiät
     –   Entfernen einzelner NM, „oligoantigen“, Elementardiät
• Provokation (Spezialfragestellung; cave Anaphylaxie! )
                                                                        UpToDate®
                                                                 Turnball JL et al, APT 2015Diagnose IgE-mediierter NM-Allergien
                                               Konzentration
Reaktion von Mastzellen der                    zirkulierender IgE
Haut gegenüber Allergen
                              Reaktion
                              zirkulierender
                              Basophiler
                              gegenüber
                              Allergen
                                                             Santos AF et al, JACI 2017UpToDate®; Turnball JL et al, APT 2015
              Hauttest oder in vitro Test?
                    Haut Test               In vitro Test
     • Meist sensitiver          • Breit verfügbar
     • Billiger                  • Durch Antihistaminika nicht
     • Ergebnis sofort verfügbar   beeinflusst
                                 • Nützlich bei Pat. mit schwerer
                                   Anaphylaxie
                                   (Risiko durch Hauttest!)
                                 • Schwere atopische
                                   Dermatitis, Dermographismus
          Positiver Haut-od. in vitro Test alleine ≠ Allergie,
           sondern Sensibilisierung, daher ANAMNESE!Griffiths RLM et al, Int Arch Allergy Immunol 2017 Bester Test: SPT: Latexallergie ImmunoCAP: Nuss-, Weizenallergie, Spezifische NM Anaphylaxie ISAC: OAS
IgG oder IgG4 basierten Tests
• Nicht validiert
• Typisch: multiple positive Ergebnisse
• Kann normale Immunantwort gegenüber
  NM repräsentieren
• Hinweis auf Toleranz
       Beyer K, Teuber SS, Curr Opin Allergy Clin Immunol. 2005
       Aalberse RC et al, Clin Exp Allergy. 2009
       Hochwallner H et al, Allergy 2011NM-Allergie: Therapie
• Allergenvermeidung
   – Oft theoretisch einfacher als in der Praxis
   – Etikettierung beachten
• Epipen® und Schulung (Anaphylaxie!)
• Primäre Prävention von NM-Allergien
   – Einführen von Erdnüssen zw. 4-6 LM
   – Eier bei (Hochrisiko) Säuglingen zw. 4-6 LM ?
• Allergen-Immuntherapie (AIT)
   – orale -(OIT)/sublinguale-/epikutane IT                 UpToDate®
                                                    Turnball JL et al, APT 2015
   – Derzeit Studien, nicht Routine                 Wei-Liang Tan J, JACI 2017
                                                       Bellach J, JACI 2017
                                                       Palmer DJ, JACI 2017
• Biologika                                          Natsume O, Lancet 2017
                                                       Du Toit G, JACI 2008
   – Omalizumab?                                    Vickery BP et al, JACI 2017
                                                   MacGinittie AJ et al, JACI 2017
                                                     Sampson HA, JAMA 2017Beeinflussung des Mikrobioms: neue Therapie Methode für NM-Allergien? Gesund Plunkett CH et al, JI 2017 Dysbiose
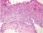
Eosinophile Ösophagitis (EoE) • Chronische, immun-mediierte ösophageale Erkrankung • ösophageale Symptome und eosinophile Entzündung - Leitsymptome : Dysphagie, NM-Bolus, Brustschmerz • Ausschluss anderer Ursachen für ösophageale Eosinophilie Mindestens 6 Biopsien ! Kia and Hirano, Nat Rev Gastroenterol Hepatol 2015 Histo für Diagnose und Monitoring! Lucendo AJ, UEJ Journal 2017
Eosinophile Ösophagitis (EoE)
            Kia and Hirano , Nat Rev Gastroenterol Hepatol 2015GERD oder PPI-REE oder EoE?
                    Molina-Infante J, Gut 2016Jorveza®                                  „empiric
(Budesonid Schmelztablette)                      6 food ED“
                              Lucendo AJ, UEJ Journal 2017„Gluten (Weizen) -
                       Unverträglichkeit“
  Zöliakie                              Weizen-        WIS
(immun-mediiert)                        Allergie (NCWS)
                    Dermatitis        (IgE-mediiert) (NCGS)
                   Herpetiformis
                   (immun-mediiert)Zöliakie: Chamäleon der Inneren Medizin
• Prävalenz:
  • Europäer: 1:100-1:500 je nach Studien, also etwa 1%
  • Auftreten aber auch in Nordafrika, Naher Osten ,
    Indien, China
• Kindesalter: 50%
  – auch bis 80 L.J.
                                                      24Pathogenese
• Eine Autoimmunerkrankung
  – Autoantigen: Tissue Transglutaminase (TG2), ein
    Enzym im Endomysium
• Bei genetisch prädisponierten Individuen
  – HLA (DQ2 und DQ8 )- und non-HLA Gene
• Trigger: Umweltfaktoren
  – Gluten (Proteingemisch in Samen von Getreide)
     • Weizen, Gerste, Roggen, Hafer
  – Stillen, Infekte, MedikamenteDiagnose der Zöliakie
• Klinische Symptome
• Zöliakie assoziierte Antikörper (Serologie)
• HLA DQ2/DQ8 (Genetik)
• Histologie (Duodenalbiopsien)
         Husby S, Murray AJ, Mayo Clin Proc 2013   26Klinische Manifestationen                      27
                                                      Bildquelle:
                                                      Wikipedia
•   Blähungen
•   Stuhlveränderungen
•   Gewichtsverlust
•   Bauchschmerzen
•   Eisenmangelanämie
•   Osteopenie (↓ Vitamin D und Calcium; ↑ AP)
•   Neuropsychiatrisch (↓ B Vitamine)
    – Kopfschmerzen, Depression, periphere
      Neuropathie, Ataxie, Epilepsie, Angststörung
• Extremform: Zöliakie Krise!
• Bis 60% keine typische Symptomatik!
    – Müdigkeit, Erhöhte Transaminasen, Eisenmangel
    – asymtomatischZöliakie: Subklinische Erkrankung Diagnose wichtig aus folgenden Gründen: • Zöliakie assoziierte Komplikationen • Nährstoffdefizite • Auftreten von mit Zöliakie assoziierten Autoimmunerkrankungen – v.a. gemeinsame genetische Prädisposition • Screening von Familienangehörigen
Bildquelle: „UpToDate“                             Antikörper   Sensitivität    Spezifizität
                                                                                  29
                                                   IgA EMA      85-98%          97-100%
                         Zöliakie Serologie
                                     IgA tTG 90-98%                             95-97%
                                                   IgA DGP      94%             99%
                                                   IgG DGP      92%             100%
        – IgA endomysiale Ak (IgA EMA): Immunfluoreszenz
                                                                                  höchste
                                                                                  höchste
                                                                               diagnostische
        – IgA tissue transglutaminase Ak (IgA tTG): ELISA                      diagnostische
                                                                                Genauigkeit
                                                                                Genauigkeit
        – Gesamt IgA ↓ >>> IgG EMA, IgG TTG
        – Anti-Gliadin-Ak (IgA AGA, IgG AGA): „out“ für Routine
               • Häufig falsch positiv (15-20%!)
        – Ak gegen Deamidiertes Gliadin Peptid (IgA DGP, IgG DGP)
               • 2. Generation AGA TestHLA-DQ2 und HLA-DQ8
• Fast alle Patienten mit Zöliakie DQ2/DQ8+
  – DQ2+: 95%; DQ8+: Rest
• Aber auch 30-35% der Bevölkerung
  – Nur 2-5% davon entwickeln Zöliakie
  – HLA Haplotypen notwendig, aber nicht
    ausreichend, um Zöliakie zu entwickeln
• Wertigkeit von DQ2 und DQ8: wenn negativ,
  Zöliakie ausgeschlossen
  – Hoher negative predictive value31
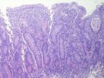
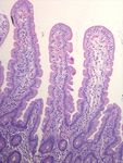
Gesundes Duodenum
   Duodenum bei
   Zottenatrophie
                    Marsh 3c32
    Management:Gluten freie Diät (GFD)
• Strikte lebenslange glutenfreie Diät
   – verboten:
       • Weizen-, Roggen-, Gerste-, Dinkel-,Grünkern-, Kamutprodukte
   – erlaubt:
    KEINE       Gluten-freie
      • Reis-, Mais-,                     Diät
                      Kartoffelmehl, Quinoa,      (GFD) VOR
                                             Amarant
   – Eher erlaubt (rein)
     serologischer
      • Hafer                    und endoskopischer
   – Probleme:
                  Diagnosesicherung!
      • Backpulver, Bier, Fertigprodukte, Abschmecken von glutenhältigen
         Soßen,Gasthausessen, Bäcker (die keine Spezialbäcker)
   – Empfehlenswert:
       • Beratung durch Diätassistentin, Mitgliedschaft bei ARGE ZöliakieWheat Intolerance Syndrome (WIS)
                                                                                           33
                     (Non-Celiac wheat sensitivity; NCWS)
                     (Non-Celiac gluten sensitivity; NCGS)
•   Eine Ausschlussdiagnose
     – Zöliakie ausgeschlossen
          •   Serologie neg., Duodenal-Bx normal
     – Weizenallergie ausgeschlossen
          •   neg. IgE und Hautpricktest
•   Beschwerden bessern sich unter Weizenentzug (GFD) und treten nach
    Wiedereinführen von Weizen (nicht aber unbedingt Gluten!) wieder auf
•   Prävalenz 0.6-13% der Bevölkerung
•   Überlappung mit RDS?
•   Mögliche Rolle von Amylase-Trypsin Inhibitoren (ATIs)
     – Sind Getreideproteine
•   Rolle von FODMAPs
•   Therapie:
                                                        Ellis A, et al, Lancet 1978
     – Elimination aller Weizen-enthaltenden Produkte   Junker Y, et al, J Exp Med 2012
     – Evtl. FODMAP reduzierter Diät                    Biesiekierski JR, et al Gastro 2013
                                                        Jericho H et al, JPGN 2017
                                                        Molina-Infante J, Clin Gastroenterol Hepatol 2017FODMAP reduzierte Diät bessert RDS Symptome
• Fermentable Oligo-, Di-, Monosaccharides And Polyols
• FODMAPS umfassen:
   – Fruktane (zB in Gemüse, Getreide), Galaktane (zB
     Hülsenfrüchte), Laktose, Fruktose, Polyole (zB Sorbit, Xylit)
• Reduktion von schlecht absorbierbaren Kohlenhydrate
                      Gibson & Shepherd , Am J Gastroenterol 2012
                      Halmos EP, Gastro 2014                        34Functional Bowel Disorders (FBD)
                     Lacy BE, Gastro 2016Chron. Entz. Darmerkrankung (CED) oder RDS?
  CED: von Entzündung bis zur irreversiblen Schädigung
               ZEIT IST DARM!!
                         Point of no return!
                                                Colitis ulcerosa
                     Ziel: Mukosale Heilung
                     Pariente et al, IBD 2011
                                                   M. CrohnRDS vs CED: Fäkales Calprotectin (FC) Calcium-bindendes Protein neutrophiler Granulozyten • Anstieg: Granulozyten gelangen durch Darmwand ins Darmlumen (gestörte Barriere) • ELISA • Normalwert:
38
                Laktoseintoleranz
• Häufig
   – Prävalenz: 7-20% Kaukasier; 65-75% Afrikaner; bis 90% in Ostasien
• Laktase (Enzym) im Dünndarm
   – Spaltet Laktose (Disaccharid) in Glukose+Galaktose
     (Monosaccharide>werden absorbiert)
• Laktasemangel
   – Laktose wird nicht in Dünndarm absorbiert>gelangt in
     Dickdarm>Substrat für Bakterien>Beschwerden
• Symptome:
   – abdominell Krämpfe, Blähungen, Flatulenz, Diarrhoe
   – DD: Reizdarm!Ursachen der Laktoseintoleranz
• Primäre Laktosemalabsorption
 – Ethnisch (LCT-Gen)
   •   häufigste Ursache, genetisch regulierte ↓ Laktase Aktivität
   •   „Lactase non-persistence“: Asien, Afrika
   •   „Lactase persistence“: Kaukasier
 – Hereditärer Laktasemangel
   •   Sehr selten, autosomal-rezessiv, fehlende Laktase Aktivität
 – Frühgeborene
• Sekundäre Laktosemalabsorption
  –    Dünndarmerkrankungen:
       •   Zöliakie, Lambliasis, akute Gastroenteritis, M.Crohn-Jejunum,
           Bacterial overgrowth
  –    Schnelle Passage:
       •   Magen-, Dünndarmresektionen , KurzdarmsyndromDiagnostik der Laktoseintoleranz • Laktosetoleranz Test (Blut) – 50g Laktose oral>BZ nach 0, 60 und 120 Min messen – Positiver Test: Anstieg des BZvorher und danach Atem H2 messen – Positiver Test: Atem-Wasserstoff Anstieg >20 ppm • Gentest: Laktase Gen (LCT) – T>C Polymorphismus legt Menge an gebildeter Laktase fest – LCT-Genotypen: CC, TC, TT – CC: genetische Anlage für Laktoseintoleranz – T-Allel: Laktase-Persistenz
• Exzellente Korrelation zwischen
  CC Genotyp und positivem H2 Test
 (97% hatten auch positiven L-H2-Test)
• Korrelation weniger stark zwischen
  TC oder TT Genotyp und negativem H2 Test
 (86% hatten negativen L-H2-Test)
                                Eur J Gastro Hepatol 2005
                                                            41Therapie der Laktoseintoleranz  Diät : Reduktion/Meiden von Produkten, die Laktose enthalten: – Milch und Milchprodukte • Milcheis, Vollmilchschokolade, Käse, ... – Industrielle Produkte • Fertigpuddings, Soßen, ...  Laktasepräparate:  Aber nur 50% Verdauung  Einnahme zu den Mahlzeiten
Fruktoseintoleranz • Häufigkeit – Bis zu 50% bei Dyspepsie • Ursache – Defekt des GLUT-5-Transporters (Jejunalzelle) – Angeboren oder Erworben • Diagnose – Fruktose-H2-Test (25 g Fruktose) – Positiver Test: Atem-Wasserstoff Anstieg >20 ppm • Cave: Hereditäre Fruktoseintoleranz (Fruktosämie)! – Hypoglykämie nach Fruktosekonsum
Therapie der Fruktoseintoleranz
• 2 Formen von Fruktose
  – Monosaccharid und Disaccharid
    (Saccharose=Glucose-Fruktose)
  – Absorption als Disaccharid > Monosaccharid
• Wichtig:
  – Fruktose-Gehalt
  – Welche anderen Zucker werden miteingenommen?
     • Glukose erleichtert , Sorbit erschwert Fruktose Aufnahme
• Vermeiden von Nahrungsmittel mit hohem
  Nettogehalt an FruktoseTherapie der Fruktoseintoleranz • Säfte und Früchte mit hohem netto Fruktosegehalt – Äpfel, Birnen, Kirschen, Pflaumen, Datteln • Getränke mit Fruktose Maissirup • Honig • Sorbithältige Kaugummis und Süßigkeiten (Cave „Zuckerfrei“!)
Histamin-Intoleranz
Mangel an
Diamine Oxidase
              Mainz and Novak, Am J Clin Nutr 2007Histamin medierte Symptome
                Mainz and Novak, Am J Clin Nutr 2007Take home Messages • NM-Allergie: selten, Immunsystem beteiligt – Anamnese das Wichtigste! – In vitro Diagnostik und Hauttest hilfreich – Anaphylaxie: Tryptase • NM-Intoleranz: häufig, Enzymmangel, Transporterdefekt – H2 Tests, LCT-Gen • An EoE denken! • Zöliakie Screening: EMA und TTG (DGP) • Funktionelle vs organische Darmerkrankung: Calprotectin
DANKE FÜR IHRE AUFMERKSAMKEIT!
 lili.kazemi-shirazi@meduniwien.ac.at
                                        49Sie können auch lesen




























































